Dentalni laseri
Laseri se u medicini koriste od 1970. godine, a stomatolozii su počeli 1980 g. koristiti CO2 laser za lezije mekih tkiva. Tek je 1989. g. dizajniran prvi laser za stomatološku uporabu.

Zubni laseri se u stomatologiji sve više koriste zadnjih godina. Postoje laseri za meka tkiva – gingivu i tvrda tkiva – zub i kost. Prednost lasera je manja bolnost, manje krvarenje i smanjanje broja bakterija na mjestu gdje prođe laserska zraka. Međutim, laser nije svemoguć.
Ne može Vam vratiti koštano tkivo koje je nepovratno izgubljeno, a što se naziva paradotitis ili „paradentoza“. S njim možemo smanjti broj bakterija i upalni proces te spriječiti daljnji gubitak kosti. Laser danas pruža najveće mogućnosti u kirurgiji – otvaranje implantata i impaktiranih zuba, oblikovanju gingive te sanaciji karijesa.
Prednosti za pacijente su: manji strah i stres zbog manjeg korištenja anestetika („strah od igle“) i manje boli. Nema klasičnog zvuka turbine („bušilice“) tako da Vaš posjet stomatologu postaje ugodan. Laser je minimalno invazivan i štedi zubno tkivo, posjet traje kraće i odmah se vraćate svojim dnevnim obavezama. Također je manja potreba za analgeticima – lijekovima protiv boli.
U našoj ordinaciji laseri se koriste već 5 godina i dr. Goran Radica je edukator za Biolase lasere. Trenutno koristimo dva lasera:
Diodni laser – Biolase EPIC 10 (940 nm, 10W)
Epic je najnoviji i jedini diodni laser u USA koji dokazano ima tri terapijske svrhe:
- kirurgija mekih tkiva (gingive) – gingivoplastika, prikazivanje zuba.
- izbjeljivanje
- terapija boli- herpes, afte, postekstrakcijska bol, bol temporomandibularnog zgloba, bol nakon postave implantata, bol nakon postav fiksnog aparata


Najnaprednija Waterlase tehnologija s fleksibilnom 2.789nm YSGG i 940nm diodom. Ovaj laser se koristi za terapiju tvrdih tkiva zuba – karijes, apicotomia, prikazivanje impaktiranih zuba i kosti
Više na www.biolase.com
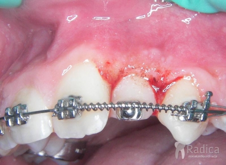
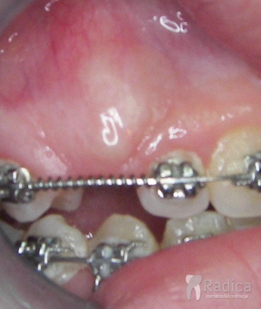
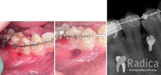
Primjeri terapija zubnim laserom:






4.Prikazivanje zuba laserom









