Izbjeljivanje zuba
1. Kojim se metodama, odnosno pripravcima izbjeljuju zubi?
U ordinaciji je moguće izbjeljivati zube na različite načine:
- laserom
- zoom lampom
- pomoću udlaga
Nema razlike između pripravaka koji se koriste kod nas i u ostalom svijetu. Svi pripravci kojima se izbjeljuju zubi su bazirani na hidrogen peroksidu i karbamid peroksidu. Ostali dodaci služe za bolju aplikaciju pripravka, poboljšavaju mu miris i sadrže tvari koje smanjuju zubnu osjetljivost (flour). Pripravci se međusobno razlikuju u koncentraciji karbamid peroksida koja ovisi o vrsti i načinu izbjeljivanja.
Izbjeljivanje može biti vanjsko i unutarnje.
Kod unutarnjeg izbjeljivanja pripravak (30-35 % hidrogen peroksid) se aplicira u kavitet („otvor“) na zubu, obično sa unutarnje strane zuba i radi se na avitalnim zubima- kada je zub promijenio boju zbog traume zuba ili neprikladnog prijašnjeg liječenja zubne pulpe ( “živca“ ) pri čemu je došlo do krvarenja u unutrašnjost zuba koje je uzrokovalo obojenje zuba. Unutarnjem izbjeljivanju pristupa se tek kada je korijenski kanal pravilno napunjen i izoliran od krune zuba. U kavitet na zubu se nanosi pripravak, zub se zatvori i pacijent odlazi doma. Pripravak stoji u zubu maksimalno četiri dana i pacijent dolazi na kontrole.kod stomatologa.
U nekim slučajevima se ne može postići potpuno izbjeljivanje zuba i pacijentu se to mora naglasiti prije započinjanja terapije.
Kod vanjskog izbjeljivanja pripravak se nanosi na vanjsku površinu zuba pri čemu prodire kroz caklinu i izbjeljuje zub. Postoji nekoliko načina ovog izbjeljivanja: pripravak stavlja se u za tu svrhu napravljenu udlagu od tankog gumastog materijala koja prati oblik zubnih kruna, pacijent dobije pripravak i udlagu i aplicira ga svaku večer slijedećih deset dana najviše. U ovom slučaju se koriste pripravci s 10-15% karbamid peroksida.
Vanjsko izbjeljivanje se može obaviti i u jednom posjetu ( laser i zoom lampa) pri čemu se koriste pripravci s većom koncentracijom karbamid peroksida (30-35%) i traje oko 20 minuta.
2. Koliko takav postupak traje i koliko se puta može ponavljati?
Postupak jednokratnog izbjeljivanja kod stomatologa traje prosječno 20 – 30 minuta, a kućno izbjeljivanje oko deset dana – pri čemu se rade kontrole kod stomatologa. Pacijentu se savjetuje dolazak na redovite kontrole svakih šest mjeseci, a eventualno ponavljanje izbjeljivanje se ne preporuča prije godine dana, s tim da i onda postupak kraće traje.
3. Je li izbjeljivanje štetno za zube, ako jest na koji način?
Prije je navedeno da izbjeljivanju prethode određeni postupci. Dakle, izbjeljivati se mogu potpuno sanirani (popravljeni) zubi, gingiva ( „zubno meso“) mora biti zdrava i zaštićena posebnim materijalom prilikom izbjeljivanja sa većim koncentracijama karbamid peroksida, zubni vrat također mora biti zaštićen i ne smije doći u kontakt s pripravkom.
Par dana prije izbjeljivanja mora se obavezno odstraniti zubni kamenac i očistiti površina zuba od nataloženih pigmenata koji dolaze iz hrane, pića, duhana itd. – postupak pjeskarenja. Već i ovaj postupak dovodi do lagane promijene boje zuba. Ukoliko se ne poštuju gore navedena pravila može doći do prolaska pripravka u dublje strukture zuba i njihovog nepovratnog oštećenja. Također, oštećenja mogu nastati ako se ne slijede upute stomatologa o načinu izbjeljivanja ( obično pacijenti pretjeruju s količinom materija i vremenom izbjeljivanja) i ako se izbjeljivanje radu bez kontrole stomatologa.
4. Mogu li zube izbjeljivati pušači? Kad nije dozvoljeno izbjeljivati zube?
Za vrijeme izbjeljivanja i dva tjedna nakon zabranjeno je pušiti i treba izbjegavati sve obojene napitke (kava, vino itd.) – dok se boja ne stabilizira. Dakle, pušaći mogu izbjeljivati zube ali se treba izbjeći pušenje za vrijeme tretmana. Izbjeljivanje nije preporučljivo u trudnoći, kod osoba sa alergijom na karbamid peroksid i hipoklorit, kod osoba s preosjetljivim zubnim vratovima, nepopravljenim zubima i kod oboljenja zubnog paradonta.
5. Smije li se zube izbjeljivati djeci?
Ne, do osamnaeste godine života nije dopušteno izbjeljivanje zuba. Naime, rast i razvoj zuba ne završava njegovom pojavom u usnoj šupljini već traje prosječno i dvije godine nakon toga. Osim toga, zubna pulpa mladih zuba je velika i bliže površini zuba nego kod starijih osoba.
6. Ima li u našim ljekarnama sredstava za izbjeljivanje zuba i možemo li to sami činiti?
Na žalost dostupni su svakakvi materijali za izbjeljivanje zuba i nalaze se slobodno na tržištu. Koncentracije pripravaka obično nisu velike, ali svejedno mogu nastati trajno loše posljedice za zube. Kako je već navedeno izbjeljivati se mogu samo potpuno sanirani zubi sa zdravim paradontom i pod kontrolom stomatologa. Zato su za izbjeljivanja zuba odgovorni isključivo stomatolozi. Nikako se ne preporučuje samoinicijativno izbjeljivanje zuba.
7. Za koliko se nijansi smiju izbijeliti zubi?
Optimalno izbjeljivanje zuba je za jednu do jednu i po nijansu. Takva je preporuka proizvođača pripravaka, a i takav rezultat je realan. Kod izrazito tamnih zuba izbjeljivanje je uspješnije. U svakom slučaju zubi će biti bjelji, ali pacijente treba upozoriti da je rezultat izbjeljivanja individualan i da ne smiju imati irealna očekivanja.
Krajnja boja ovisi i o strukturi i građi zuba, početnoj boji zuba, navikama pacijenta i vrsti pripravka.
8. Postoji li prirodna metoda izbjeljivanja zuba kod stomatologa?
Svaka osoba bi dva puta godišnje trebala ići na kontrolne preglede kod stomatologa i odstraniti tvrde zubne naslage (zubni kamenac) i vanjske pigmente koji se talože na caklinu zuba. Nakon čišćenja zubnog kamenca posebnom napravom- pjeskarom se odstrani pigment pri čemu zubi postaju bjelji.
9. Koliko košta izbjeljivanje kod stomatologa?
Cijene izbjeljivanja ovise o vrsti i načinu izbjeljivanja (vanjsko, unutarnje, jednoposjetno ili kućno) i kreću se od 1000-3000 kn.
10. Nakon koliko se vremena vide rezultati izbjeljivanja?
Rezultati izbjeljivanja se praktički vide odmah, ali krajnji rezultat se vidi prosječno dva tjedna nakon završetka izbjeljivanja kada se boja stabilizira. Kako će se dobivena boja održavati dalje ovisi isključivo o navikama pacijenta – oralna higijena, redovite kontrole stomatologa radi odstranjenja zubnih naslaga, pušenje, konzumiranje obojenih pića.
11. Što bismo preporučili pacijentima koji žele izbijeliti zube?
Izbjeljivanje zuba je postupak kojim se bitno može uljepšati izgled lica, ali i istovremeno nepovratno narušiti zdravlje zuba ako se radi nestručno i bez stomatologa. Pacijenti trebaju biti svjesni kako je izbjeljivanje individualno i ovisi o puno čimbenika. Zubi će sigurno nakon izbjeljivanja biti bjelji, ali često putu pacijenti ima ju irealna očekivanja i žele „holywood-ske zuba“ koji su najčešće u stvari zubi pokriveni keramičkim krunicama ili ljuskicama izraziti bijele, gotovo neprirodne boje. Ako ste zainteresirani za izbjeljivanje zuba obratite se isključivo svom stomatologu i jedino kod njega i uz njegovu kontrolu izbjeljujte zube. Svi ostali načini predstavljaju veliki rizik za zdravlje zuba.
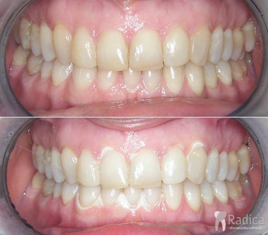
Primjeri izbjeljivanja laserom – prije i poslije:






