Hyrax - aparat za ubrzano širenje nepca
Autor: mr.sc. Nataša Radica, DMD, spec.ortodont
Hyrax – aparat za ubrzano širenje nepca
Hyrax je fiksni ortodontski aparat kojim se širi nepce odnosno gornja čeljust. Koristi se isključivo kada je gornja čeljust slabo razvijena u širinu. Obično se kod takvih pacijenata viđa izrazito usko nepce, križni zagriz i često je otežano disanje na nos jer je nepce dno nosne šupljine. Hyrax se često kombinira sa Delair maskom kada je potrebno gornju čeljusti „povući naprijed“ npr kod pacijenata s rascijepom nepca.
Hyrax se pomoću prstene fiksira na prve trajne molare i prve premolare. Vijak se okreće svaki dan i već nakon par dana se vidi učinak jer se pojavljuje razmak između sjekutića. Nakon dva tjedna se vijak blokira i aparat ostaje u ustima najmanje sljedećih 4-6 mjeseci. Fiksni aparat se obično stavi nakon tri mjeseca. Hyrax ima najbolji efekt u vrijeme mješovite denticije – najčešće između 9-12 godine.
Samo širenje nije bolno – pacijenti osjećaju lagani pritisak.
U sljedećim galerijama možete vidjeti primjere upotrebe Hyraxa:


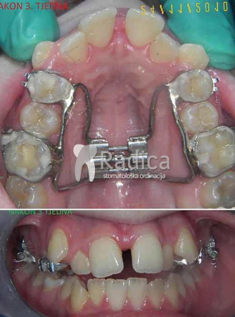
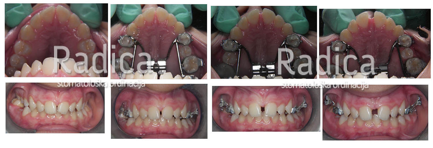
1. primjer


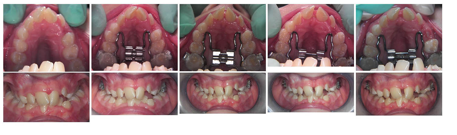
2. primjer




4. primjer – jednostrani rascjep nepca



6. primjer – pseudoprogenija i hypodontia (nedostatak) gornjih trajnih lateralnih sjekutića. Osim hyraxa, pacijent nosi i Delairovu masku za stimulaciju rasta gornje čeljusti.




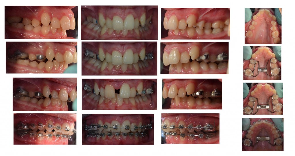
Slike završetka terapije





Na superpoziciji lateralne slike glave prije i poslije terapije se vide promjene u rastu.
Stanje prije terapije je označeno crvenom bojom, a zelenom je označeno stanje poslije terapije






