Ortodontske terapije kod odraslih pacijenata
Autor: mr.sc. Nataša Radica, DMD, spec.ortodont
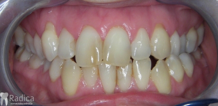
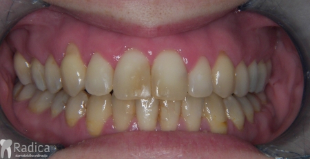
Ortodontska terapija se može provoditi u bilo kojoj dobi – sve dok pacijent ima zube.
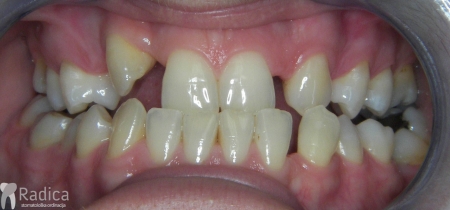
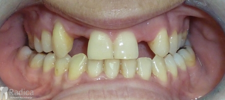
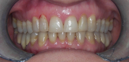
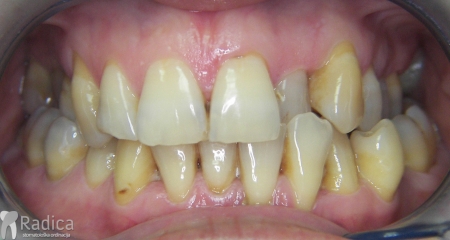
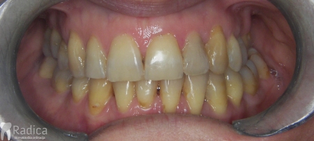
Danas je sve veći broj odraslih pacijenata u terapiji. Pod „odraslim pacijentom“ u ortodonciji se smatraju svi pacijenti koji su završili rast i razvoj – prosječno nakon 18 – 20 godine života. Kako se sa starenjem smanjuje broj stanica i prokrvljenost koštanog tkiva terapija obično traje duže i retencija je doživotna. Također, kako veći broj pacijenata dolazi s već izgubljenim zubima, abradiranim (potrošenim) zubima i poremećenom okluzijom, očekivanja od ortodontske terapije trebaju biti realna, a ne idealna.
Dakle, poslagat ćemo zube koje imamo, osigurati okluziju, stvoriti prostor za nadoknadu nekih zuba i samim tim spriječiti daljnje propadanje zuba i zagriza ali rezultat će biti „realan“ i daleko od onog idealnog rezultata kojeg možemo postići kod mladih osoba koje imaju sve zube.
Zadnjih godina sve se veći broj odraslih u Hrvatskoj odlučuje za ortodontsku terapiju bilo u cijelosti ili prije protetskih radova. Kako se radi o grupi pacijenata srednjih godina najčešće bez određenog broja zuba i nedostatka koštanog tkiva njihovo liječenje je kompleksnije i zahtjeva interdisciplinarnu suradnju – općeg stomatologa, parodontologa, kirurga i protetičara.
Na žalost još uvijek postoji mišljenje pacijenta ali i nekih stomatologa kako ortodontska terapija kod odraslih bez određenog broja zuba i/ili umjerenim gubitkom koštanog tkiva nije preporučljiva jer će uzrokovati još veći gubitak kosti i zuba. Odnosno, ono što često čujemo u ordinaciji – „Ne želim ortodontski aparat jer će mi se zubi rasklimati i ispasti! Dobit ću “paradontozu”!”
Međutim, jedan od uzroka parodontitisa je loš položaj zuba i posljedično loš zagriz. Kod lošeg zagriza opterećenje zuba prilikom žvakanja je patološko. Zub nije opterećen po njegovoj dužinskoj osi – što ga štiti od oštećenja – nego je opterećen drugačije. Uslijed toga dolazi do naginjanja zuba, gubitka kosti, povlačenja zubnog mesa i ogoljenja korijena zuba.
Ortodontska terapija ispravlja položaj zuba i pomaže da bolest dalje ne napreduje. Normalno, kako se ortodontska sila prenosi na onaj dio korijena koji je u kosti, u ovim slučajevima treba biti oprezniji i koristiti slabije sile, pojačavati sidrišne zube itd. Nakon terapije obavezno se stavlja fiksni retainer i potrebno je protetski nadoknaditi zube koji nedostaju.
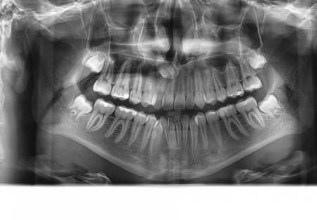
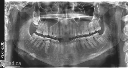
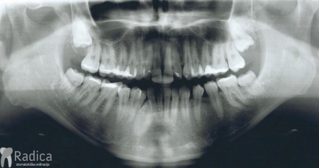
Prosječni gubitak visine kosti uslijed ortodontske terapije je od 0,5-1 mm, najviše u području ekstrakcijskih mjesta. Ekscesivni gubitak visine kost se gotovo nikad ne viđa kao posljedica ortodontske terapije. Izuzetak je pomak zuba kada postoji aktivni paradontitis. U tom slučaju pacijent se šalje našem suradniku specijalistu paradontologije dr. Dariu Bojčiću na inicijalnu parodontološku terapiju. Tek kada se parodont dovede u stanje bez aktivne upale, započinje se ortodontska terapija i pacijent odlazi na kontrolne preglede parodontologa.
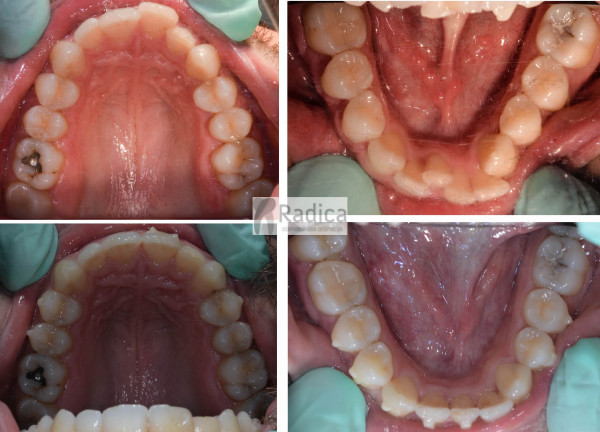
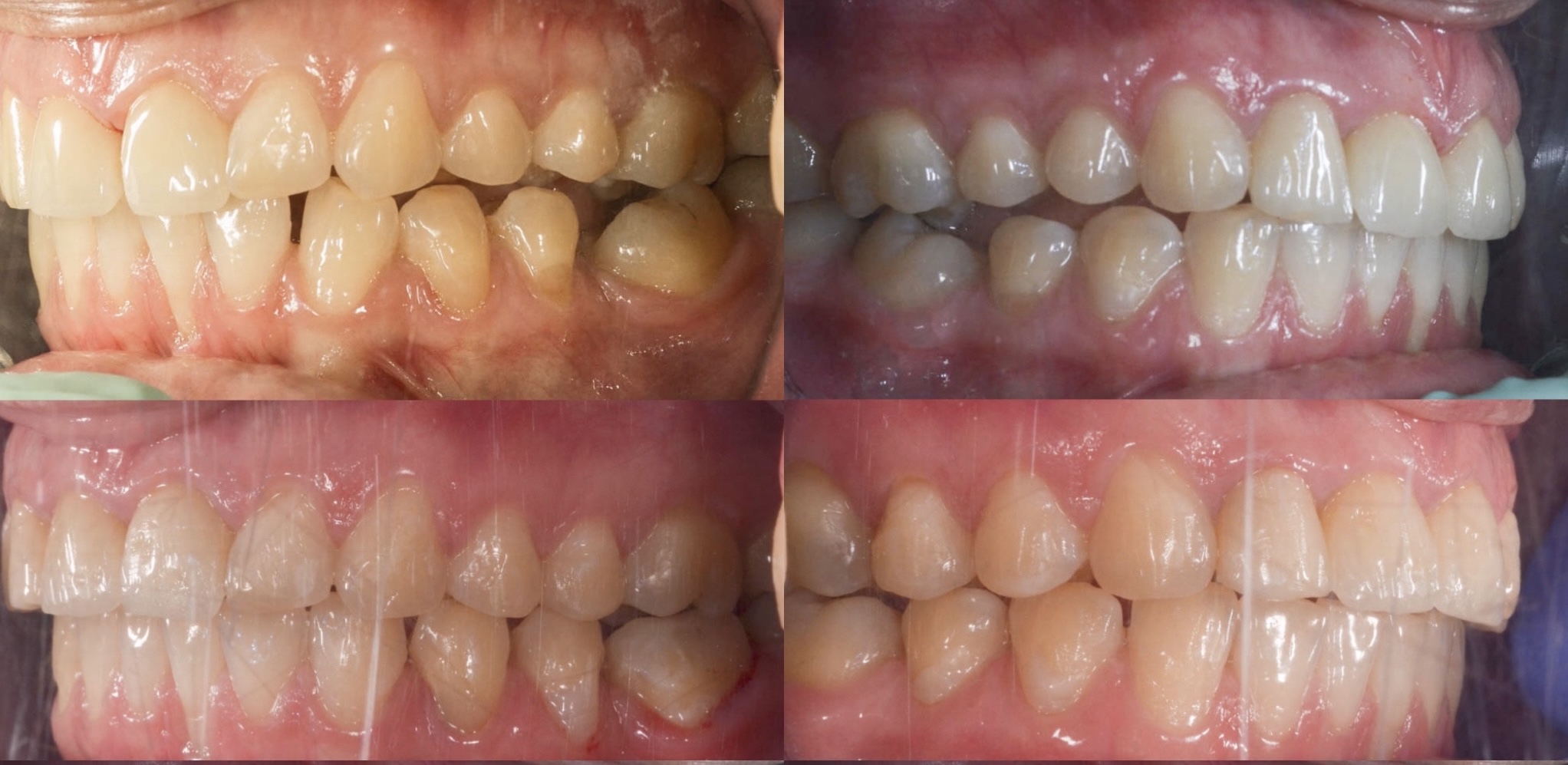
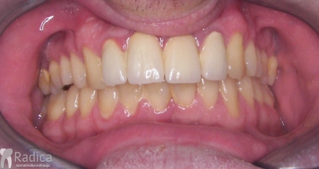
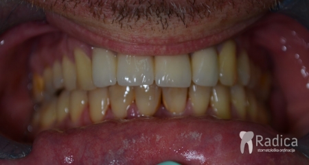
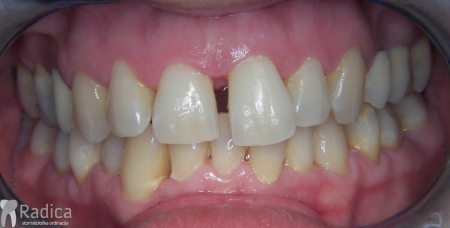
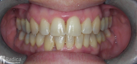
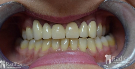
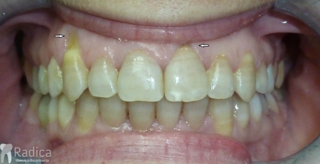
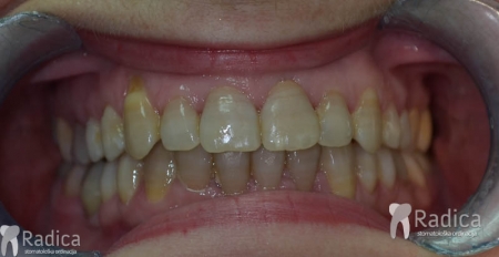
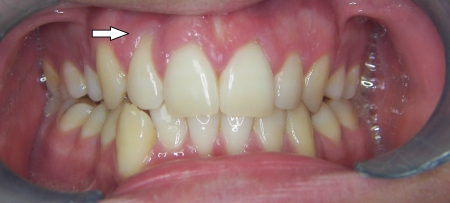
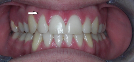
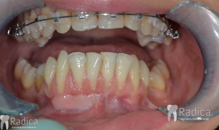
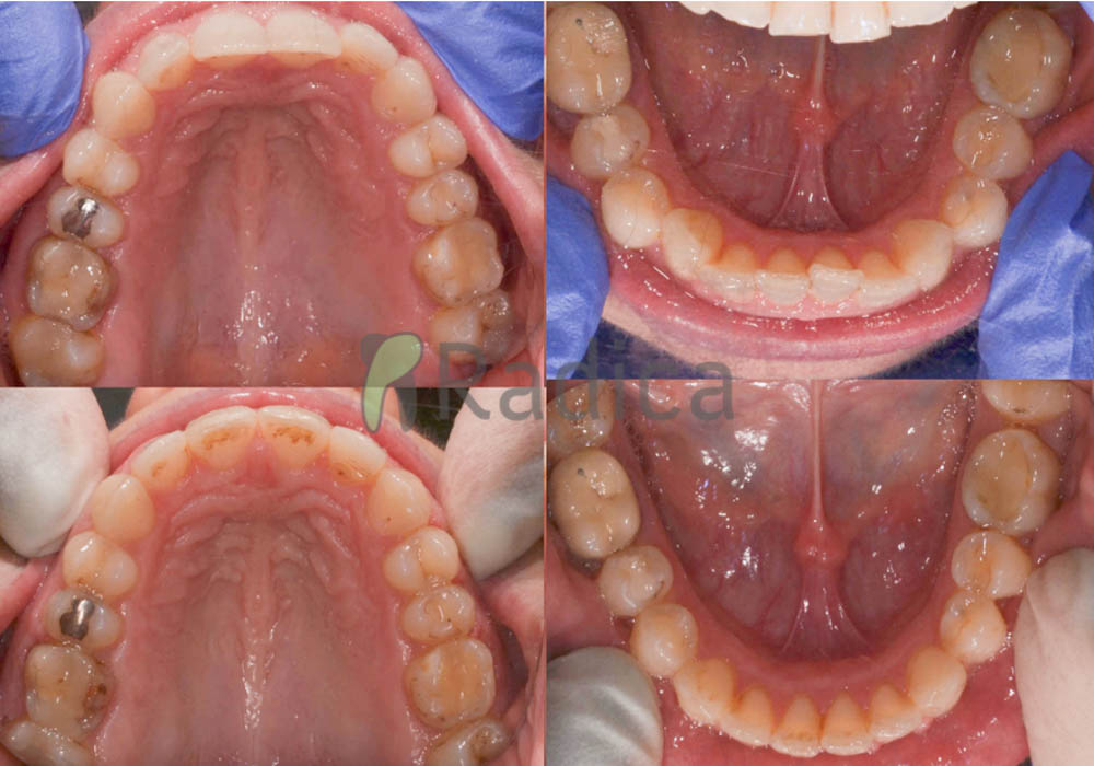
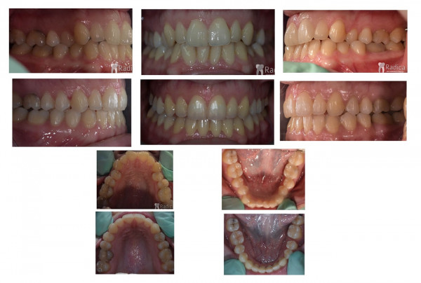
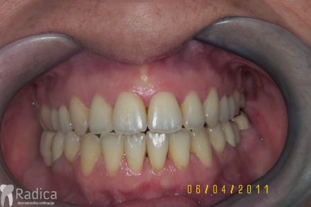
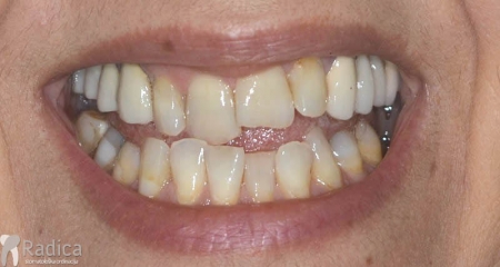
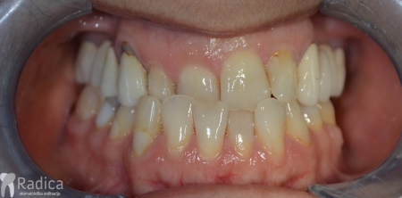
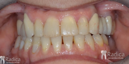
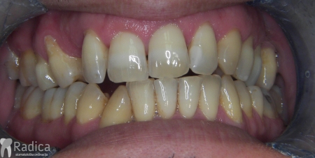
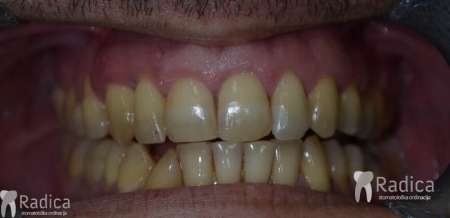
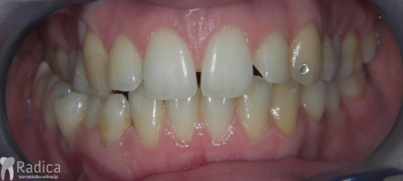
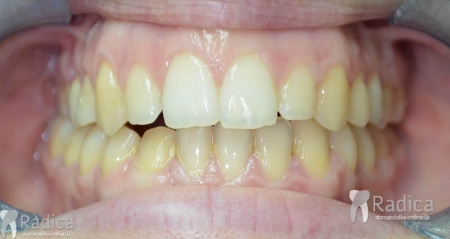
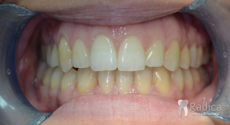
U galeriji slika su prikazani klinički slučajevi ovakvih odraslih pacijenta bilo da se radi samo o ortodontskoj terapiji ili predprotetskoj ortodonciji.
Obzirom da je fiksni aparat s prednje strane vidljiv sve više odraslih pacijenata se odlućuje ta ispravljanje zuba „nevidljivim aparatićima“ kao što je Invisalign ili lingvalni fiksni aparat ( s unutarnje stranje zuba).
U slijedećim primjerima možete vidjeti ispravljanje zuba ovom tehnikama.
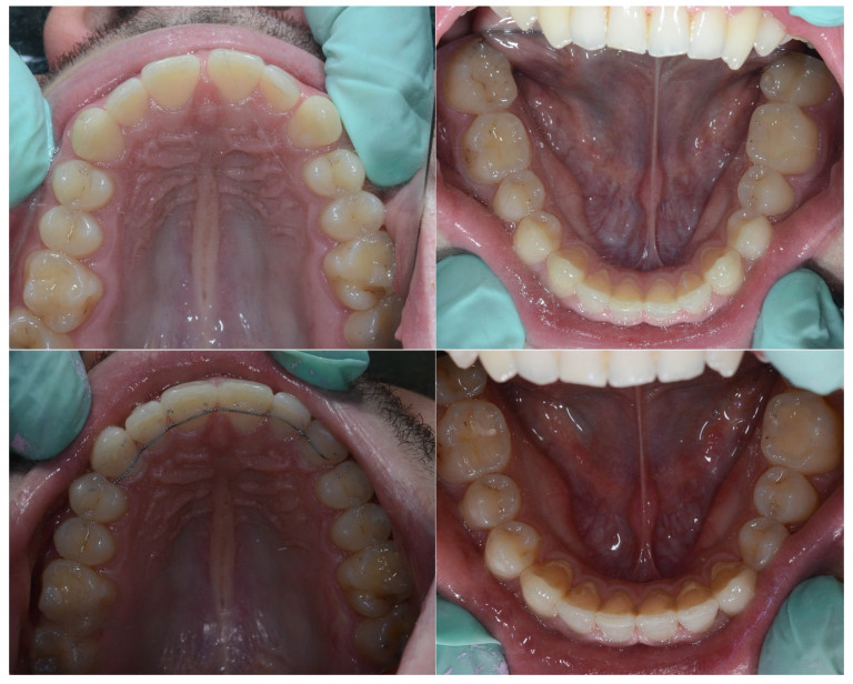
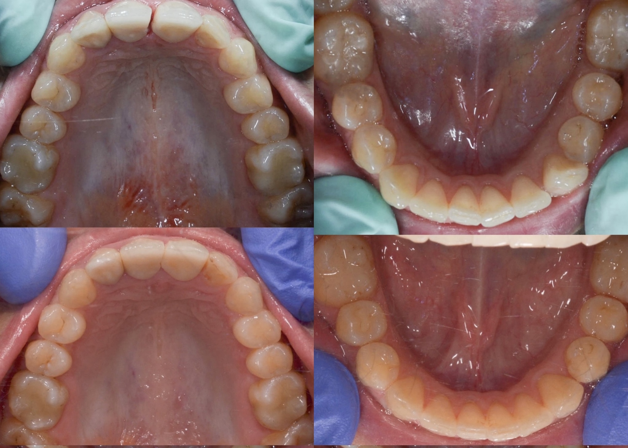
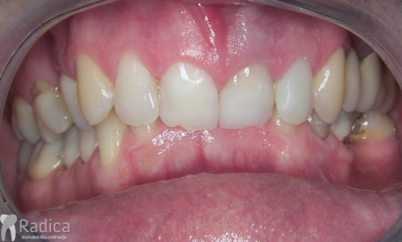
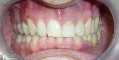
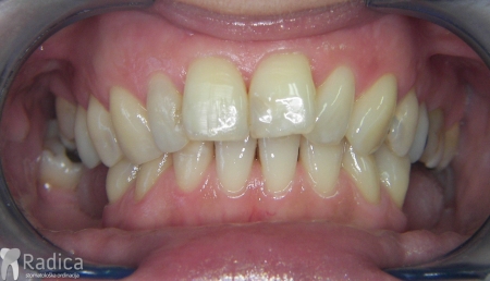
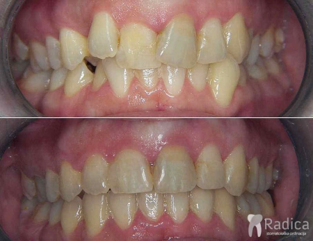
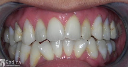
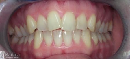
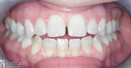
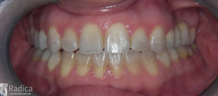
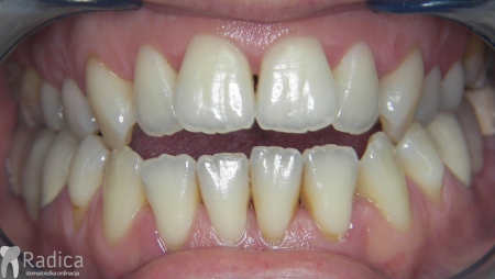
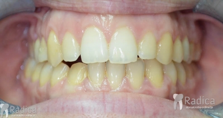
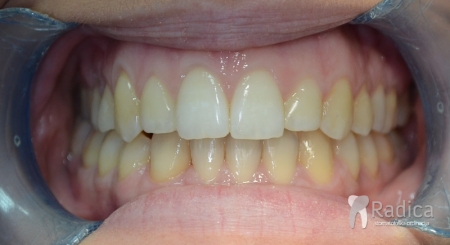
Slučaj 1: ispravljanje otvorenog zagriza i kompresije Invisalign full terapijom



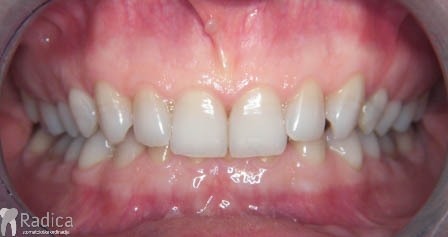
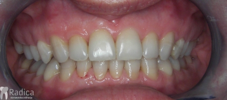
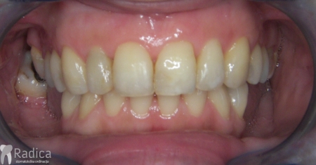
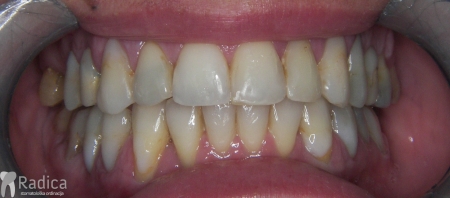
Slučaj 2: ispravljanje kompresije Invisalign full terapijom- u ovom slučaju je izvađen jedan donji sjekutić


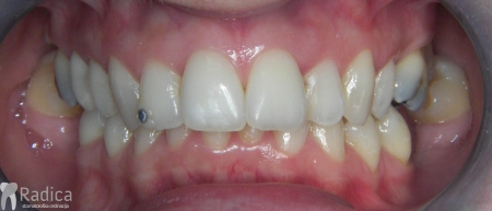
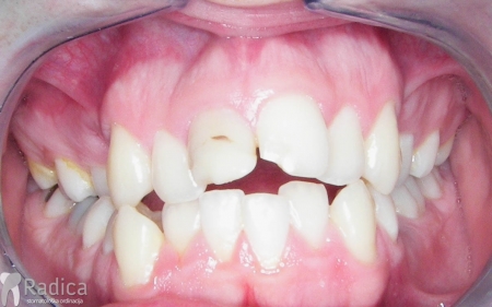
Slučaj 3: ispravljanje kompresije Invisalign full terapijom


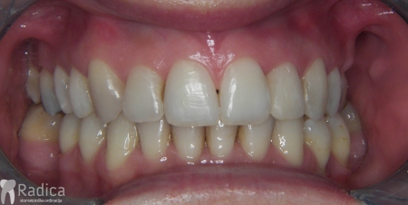
Slučaj 4: ispravljanje kompresije Invisalign full terapijom



Slučaj 5: ispravljanje kompresije i križnog zagriza Invisalign full terapijom

Slučaj 6: ispravljanje kompresije i dubokog zagriza Invisalign full terapijom



Slučaj 7: ortodontska predprotetska terapija Invisalign full



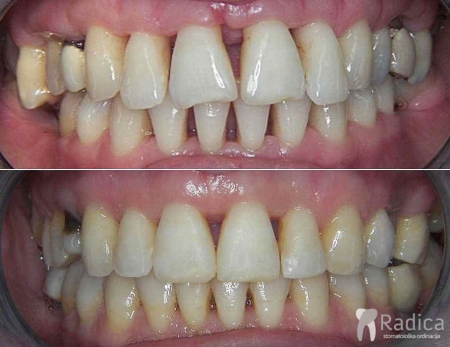
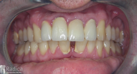
U sljedećem primjeru su se na mjesto donjih ekstrahiranih prvih molara stavili dentalni implantati prije ortodontske terapije (rad dr. Gorana Radice) i ujedino su služili za pojačenje sidrišta tijekom ortodontske terapije. Nakon ortodontske terapije estetski su se preoblikovali sjekutići i napravile nove krunice (također rad dr. Gorana Radice).
Slučaj 1


Slučaj 2


Slučaj 3



Slučaj 4


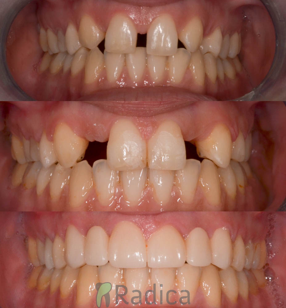
Predprotetska ortodoncija
U sljedećem primjeru prikazan je pacijent s hypodontiom (nedostatkom) desnog gornjeg lateralnog sjekutića. Nakon ortodontskog otvaranje prostora za lateralni sjekutić dr. Željka Baričević napravila je protetski rad.
Slučaj 1



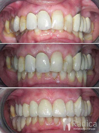
Nedostatak ili hypodontia oba gornja lateralna sjekutića. Nakon ortodontske terapije i otvaranja prostora pacijent je upućen svom stomatologu koji je napravio protetski rad.



Ponekad je prije protetskog rada potrebno pomaknutu zube ili podići zagriz kako bi se protetika uopće mogla raditi.
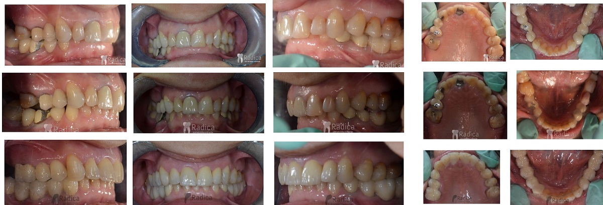
U sljedećem primjeru je fiksna ortodontska terapija rađena samo u donjoj čeljusti. Nakon toga su napravljeni novi protetski radovi u gornjoj i donjoj čeljusti – rad dr. Gorana Radice.


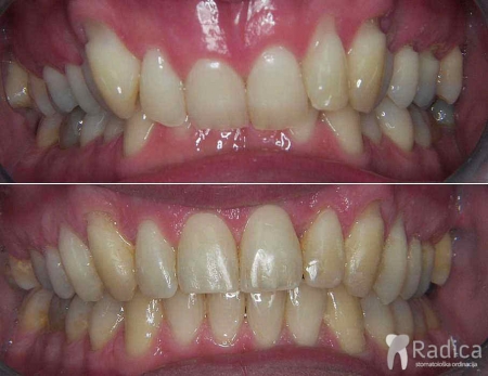
Na sljedećoj slici se mogu vidjeti početak i kraj ortodontske i protetske terapije. Protetske radove radio je dr. Goran Radica.


U sljedećem primjeru je fiksna ortodontska terapija rađena samo u donjoj čeljusti. Nakon toga pacijent je upućen svom stomatologu koji je napravio nove protetske radove u gornjoj i donjoj čeljusti.

Na sljedećoj slici mogu se vidjeti početak i kraj ortodontske terapije. Pacijentica je upućena od svog stomatologa nakon što nije bila zadovoljna izgledom osmjeha i odnosom zuba i gingive u privremenom protetskom radu. Napravljena je ortodontska terapija samo u gornjoj čeljusti a nakon toga novi privremeni protetski rad.

U sljedećem primjeru pacijent je zahtjevao terapiju samo u gornjoj čeljusti radi ljepšeg osmijeha.

U ovom primjeru pacijent je započeo terapiju nezadovoljan ishodom priješnje ortodontske terapije pri čemu su mu bila izvađena oba gornja prva premolara (“četvorke”).

U ovom primjeru pacijent je započeo terapiju nezadovoljan izgledom zuba sa razmacima.

U sljedećem primjeru prikazan je pacijent s kompresijom koji je već bio u ortodontskoj terapiji kada su izvađeni gornji i donji prvi premolari. U međuvremenu je došlo do resorpcije –gubitka korijena gornje desne „dvojke“. Pacijentu je započeta terapija s fiksnim aparatom u obje čeljusti . Zadržana je „dvojka“ radi estetskih razloga. Nakon terapije zub je izvađen i napravljen je protetski nadomjestak – rad dr.Željke Baričević

U sljedećem primjeru prikazan je pacijent s progenijom i hypodontiom (nedostatkom) oba gornja lateralna sjekutića. Ortodontskom terapijom je dobiven normalan pregriz i prostor za nadoknadu lateralnih sjekutića. Radi estetskih razloga u toku terapije su dodana dva zuba koja nedostaje. Nakon završene ortodontske terapije pacijent je upućen svom stomatologu koji mu je napravio protetski rad.



U sljedećem primjeru je fiksna ortodontska terapija rađena prije ortognatske kirurgije – operacije gornje i donje čeljusti kod pacijenta sa progenijom.

U sljedećem primjeru vidi se mikroimplantat i parcijalni fiksni aparat za otvaranje prostora za smještaj implantata na mjesto izgubljenog donje prvog molara



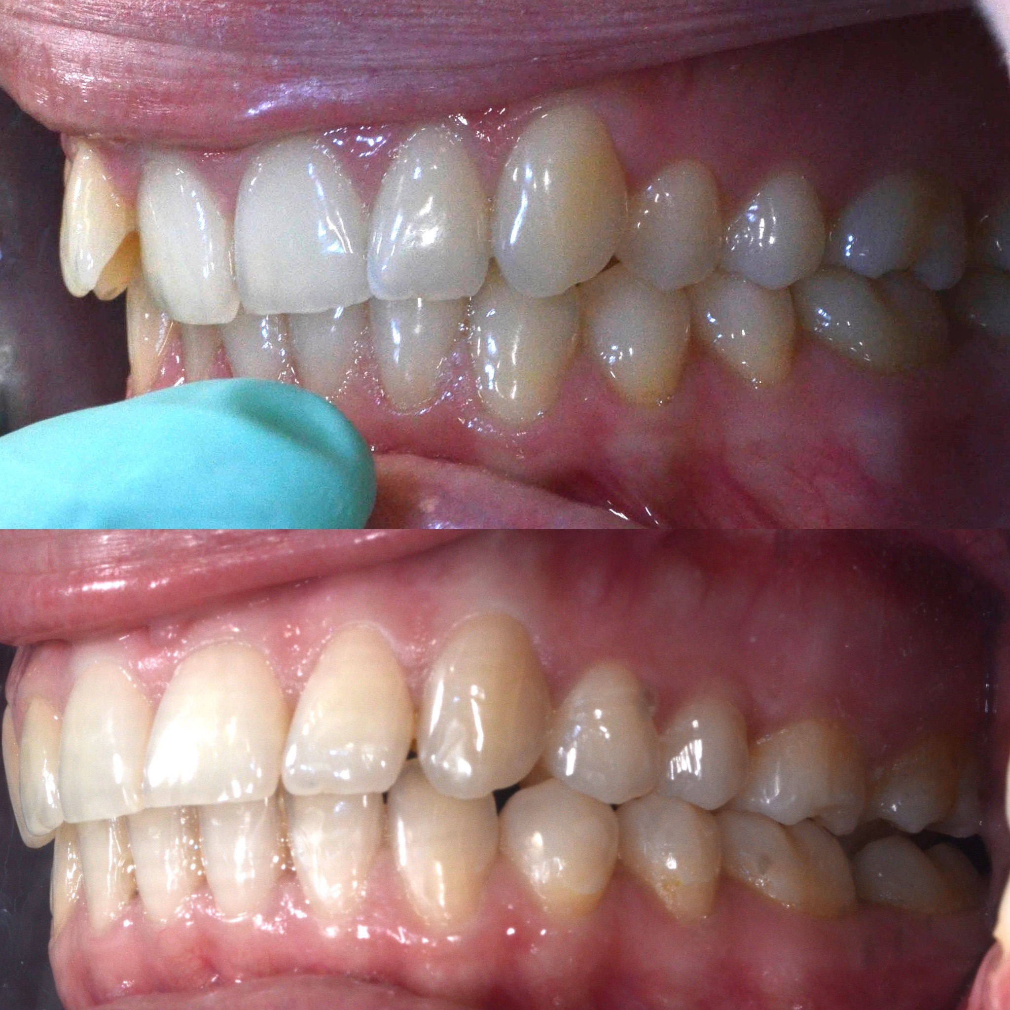
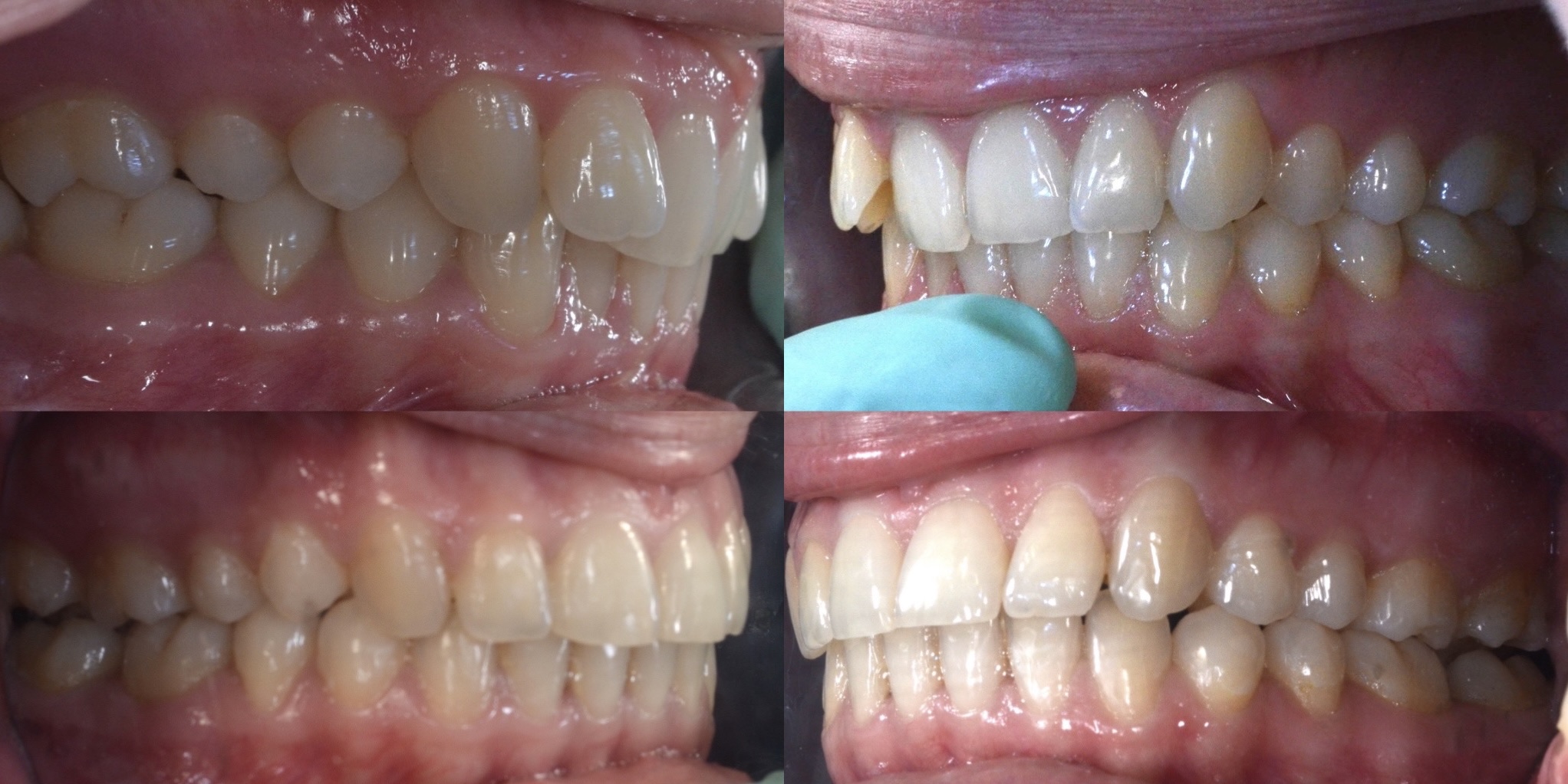
Odrasli pacijenti često imaju „recesije“ – neupalno pojedinačno povlačenje gingive uz posljedično ogoljenje zubnog vrata koje izaziva bolne senzacije. Pravilnim odabirom i postavljanjem bravica može se promjeniti nagib zuba pri čemu sa taj dio korijena zuba uvlači više u kost te spriječava daljnje napredovanje a ponekad i smanjenje recesije.

Pacijent 2



Pacijent 3: Smanjenje recesije na gornjem lateralnom sjekutiću


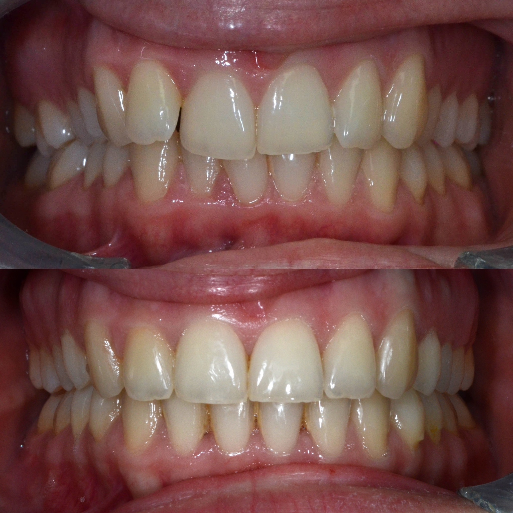
U sljedećem slučaju je pacijentu prije postave aparata u donju čeljust napravljen transplatat sluznice nepca u područje donjih sjekutića – rad dr. Daria Bojčića specijalista parodontologije.


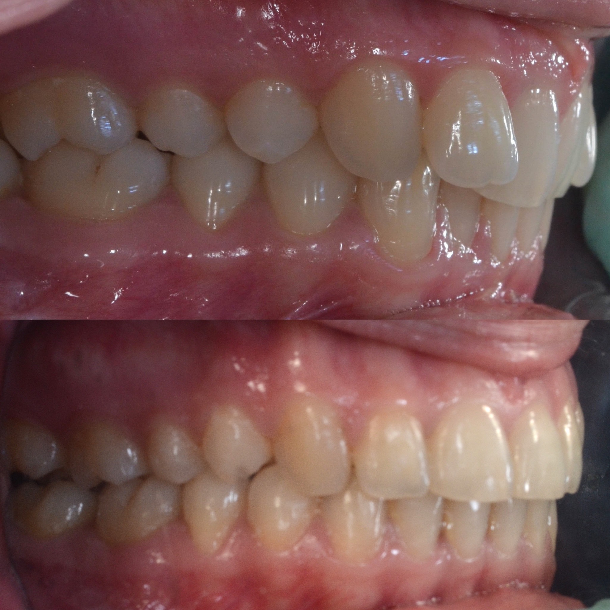
Također, na sljedećim slikama se vidi bitno poboljšanje stanja gingive i kosti nakon parodontološke terapije koju je također radio dr. Dario Bojčić, spec.parodontolog.




Slučaj 5


Prikazi ostalih slučajeva:
Duboki zagriz
Slučaj 1






Slučaj 2


Slučaj 3


Slučaj 4


Slučaj 5



Slučaj 7


Kompresija –fiksni aparat bez ekstrakcije zuba
Slučaj 1


Slučaj 2


Slučaj 3


Slučaj 4





Kompresija, nedostatak gornjeg desnog očnjaka – na njegovo mjesto pomaknut je prvi premolar:

U sljedećem primjeru je rađen „striping“ – aproksimalna redukcija cakline donjih sjekutića da bi se stvorio prostor za smještaj istih


Kompresija – fiksni aparat i ekstrakcija oba gornja prva premolara


Nedostatak oba lateralna sjekutića “dvojki” na čijem mjestu su postavljeni očnjaci.

Kompresija –fiksni aparat i ekstrakcija jednog donjeg sjekutića

U sljedećem primjeru prikazan je pacijent s kompresijom koji je već bio u ortodontskoj terapiji. Za rješavanje kompresije donje čeljusti izvađen je sjekutić. Nkon terapije je došlo i do smanjenja recesija na očnjacima jer smo pomakli zubni korijen u bolji položaj.

Otvoreni zagriz
Slučaj 1


Slučaj 2


Slučaj 3



Obrnuti prijeklop





U sljedećem primjeru prikazan je pacijent s križnim zagrizom.

U sljedećem primjeru prikazana je terapija kod 28-godišnjeg pacijenta koji je u djetinjstvu izgubio gornji desni centralni sjekutić uslijed traume te je nosio malu protezicu – „žabicu“.
Osim toga, u donjoj čeljusti su bili izvađeni lijevi drugi premolar „petica“ i prvi molar „šestica“. Također, pacijent je imao i otvoreni zagriz te protruziju frontalnih zuba (bili su izbačeni naprijed). Nakon dijagnostike odlučeno je da se na mjesto izgubljenog sjekutića pomakne lateralni sjekutić „dvojka“, te ekstrakcija prvog gornjeg lijevog i donjeg desnog premolara „četvorke“ radi rješavanja protruzije zuba i otvorenog zagriza. Na mjesto izgubljenog prvog donjeg lijevog molara je nakon terapije stavljen implantat – rad dr. Gorana Radice.

Izvlačenje imapktiranih zuba
Impaktirani zubi su zubi koji su ostali u čeljusti i nisu nikli na svoj normalni položaj. Ovi zubi mogu ostati u čeljusti cijeli život, međutim vrlo često dobiju impuls i počnu nicati.
Problem koji tada nastaje je oštećenje korijenova susjednih zuba do te mjere da se ti zubi moraju izvaditi. Stoga je stav da se ovakvi izubi izvlače ortodontski, a ako to nije moguće ili pacijent ne želi, zub je potrebno odstraniti ili bar kontrolirati redovitimRTG snimkama.
Sljedeća CT snimka pokazuje oštećenje korijena trajnog desnog lateralnog i centralnog sjekutića kod 14-godišnjeg pacijenta prilikom nicanja impaktiranog desnog očnjaka. Očnjak je kirurški odstranjen, a sjekutići su morali biti devitalizirani i odstranjen im je resorbirani vrh korijena.


U dolje prikazanim slikama se vidi impaktirani drugi trajni premolar koji je resorbirao dio korijena i krune prvog trajnog molara. Pacijent se javio zbog jakih bolova u području molara koji je bio intaktan te je napravljen ortopantomogram. Molar se morao izvaditi i pacijent je trenutno u terapiji.


U ovom slučaju je 41.godinu starom pacijentu počeo nicati impaktirani desni gornji očnjak pri čemu je ugrozio lateralni sjekutić. Pacijentu je stavljen fiksni aparat te je zub smješten u luk. Kako je pacijent odustao od postave aparata u donjoj čeljusti na kraju nije dobivena zadovoljavajuća okluzija na što je upozoren.




U ovom slućaju 28 godina star pacijent je zatražio ortodontsku terapiju. Na pregledu je uočen perzistentni donji desni mliječni očnjak a ortopan je potvrdio postojanje impaktiranog trajnog nasljednika. Tijekom terapije je uočeno oštećenje korijena desnog lateralnog sjekutića koji je izvađen a na njegovo mjesto je postavljne očnjak i preoblikovan ljuskicom.









U sljedećem primjeru prikazan je pacijent kojemu je očnjak niknuo na nepcu i pomoću aparata smo ga smjestili u zubni luk.





