Prikazi završenih ortodontskih terapija kod djece
Autor: mr.sc. Nataša Radica, DMD, spec.ortodont
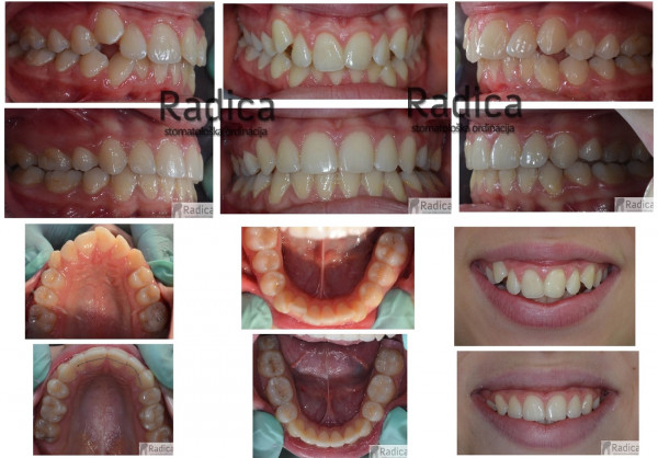
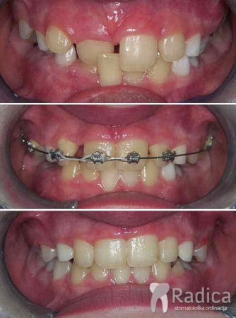
Kod svih dolje prikazanih slučajeva rađena je terapija fiksnim aparatom u obje čeljusti.
Aparatom u jednoj čeljusti se izuzetno rijetko mogu dobro ispraviti zubi i zagriz.
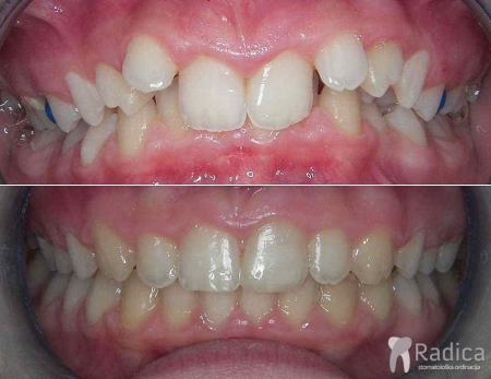
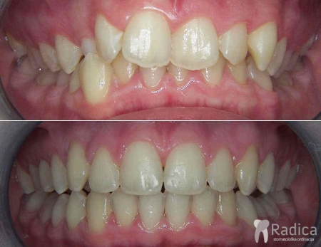
Primjeri fiksne ortodontske terapije dubokog zagriza:


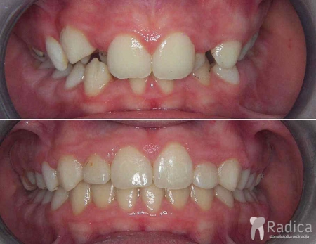
Uslijed resorpcije korijena desnog lateralnog sjekutića koji je morao biti izvađen ortodontskom terapijom smo dobili prostor za daljnju protetsku nadoknadu zuba.


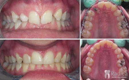
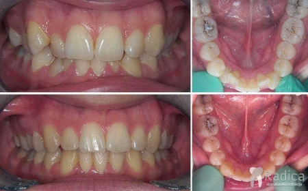
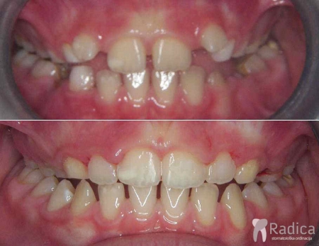
Duboki zagriz, hypodontia (nedostatak) gornjeg desnog lateralnog sjekutića i impakcija gornjeg lijevog očnjaka u nepcu:

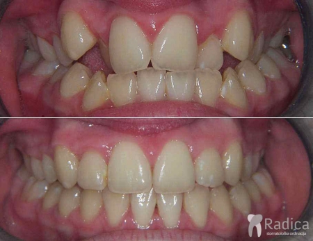
Duboki zagriz i perzistentni gornji desni mliječni očnjak, impakcija desnog trajnog gornjeg očnjaka i genetski nedostatak gornjih lateralnih sjekutića („dvojki“), na ćije mjesto su pomaknuti očnjaci i preoblikovani:

U sljedećem primjeru je pacijent došao sa impaktiranom mliječnom i stalnom donjom „peticom“. U terapiji je prvo korišten lingvalni luk za čuvanje prostora, a dalje je nastavljeno s fiksnim aparatom.

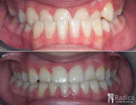
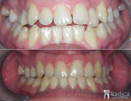
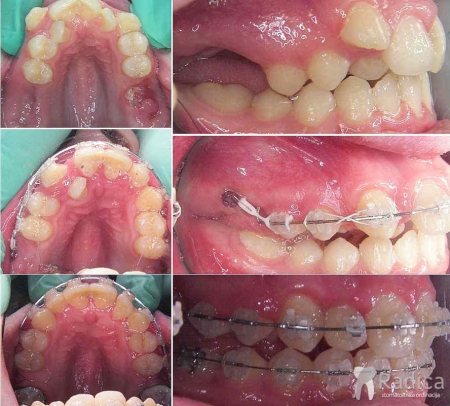
Primjer terapije kod dubokog zagriza:

Kompresija – fiksna ortodontska terapija bez ekstrakcije (vađenja) zuba:

Kompresija – fiksna ortodontska terapija bez ekstrakcije (vađenja) zuba.
U terapiji je korišten i headgear te se napravio „striping – aproksimalna redukcija cakline “ donjih frontalnih zuba:

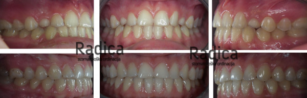
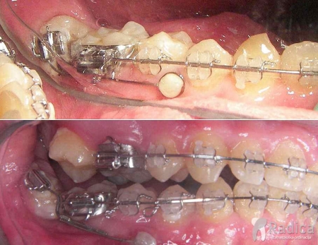
Kompresija – fiksni aparat u obje čeljusti, bez ekstrakcije:


U sljedećem primjeru je pacijentu je kompresija rješena prvo pomoću aparata za ubrzano širenje nepca-hyraxa i kasnije fiksnog aparata.

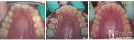
Kompresija – palatinalno položeni gornji lateralni sjekutići:


Kompresija – fiksni aparat, bez ekstrakcije:

Kompresija –fiksni aparat, bez ekstrakcije:

Kompresija –fiksni aparat, vađenje četri premolara – po dva u svakoj čeljusti:

U sljedećem primjeru donji očnjak je bio ukliješeten između zuba i ekstrakcijom jednog sjekutića se dobio prostor za smještanje očnjaka u luk – drugo rješenje bio je vađenje četiri premolara.

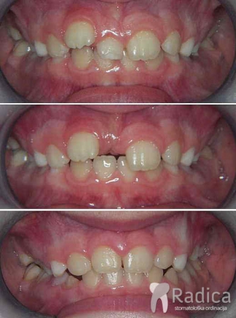
Obrnuti prijeklop zuba:

Otvoreni zagriz – fiksni aparat, high pull headgear:

Izvlačenje impaktiranih očnjaka:

U sljedećem slučaju smo izvlačili oba gornja impaktirana očnjaka:


Prethodno loše urađena terapija sa očitim pomakom sredine:

Terapija fiksnim aparatom u mješovitoj denticiji – naziva se još i 2-4 sistem (2 molara i 4 sjekutića)
Dob pacijenta nije ograničavajući faktor za terapiju fiksnim aparatom nego stupanj razvoja korijena zuba. Mobilni aparati koji se koriste u mješovitoj denticiji (6-12 god. života) ne mogu napraviti određene pomake zuba – u cijelosti pomaknuti zub i tada se koristi parcijalni fiksni aparat. Obično se radi o lošem položaju sjekutića koji ima posljedica za daljni smještaj ostalih trajnih zuba. Kada se terapija završi pacijent dobije mobilni aparat i dalje se prati izmjena zuba.




U sljedećem primjeru pacijent je imao jedan zub viška između gornjih centralnih sjekutića – mesiodens.
Nakon vađenja tog zuba fiksnim aparatom su se spojili centralni sjekutići. Na taj način smo omogućili normalno nicanje ostalih zuba.

Ortodontski mikroimplantati
To su mali titanski implantati dužine 6, 8 ili 10 mm koji nam pomažu da pomaknemo određene zube a da ne opterećujemo ostale zube ili da zamjene zube koji nedostaju. Postavlju se između korijenova zuba. Mikroimplantati su privremeni i vade se čim više ne trebaju. Stavlja ih ortodont u lokalnoj anesteziji.
Pomoću mikroimplantata pomičemo prednje zube natrag, jer ne možemo opteretiti stražnje zube (pomakli bi se naprijed u ekstrakcijske prostore).

Uspravljanje nagnutog umnjaka pomoću mikroimplantata da zauzme mjesto prethodno izvađenog drugog molara:


Pojačananje sidrišnog zuba pomoću mikroimplantata:

Pomoću mikroimplantata postavljenih na mjesto izvađenih trajnih prvih i drugih molara su se zubi povukli natrag i riješila kompresija.
Pri kraju terapije su niknuli umnjaci.





