Fiksni ortodontski aparati
Autor: mr.sc. Nataša Radica, DMD, spec.ortodont
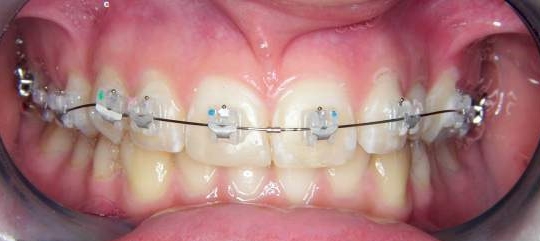
Fiksni ortodontski aparati dio su ponude ortodontskih usluga Stomatološke ordinacije Radica. U našoj ordinaciji se za aparate koriste isključivo self-ligating ili samoligirajuće bravice: metalne Quick – Forestadent i estetske QuickKlear – Forestadent.
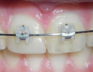
Self-ligating tehnika je fiksna ortodontska koja koristi posebnu vrstu samoligirajućih bravica. U fiksnoj ortodonciji bravica („pločica koja se lijepi na zub“) je samo posrednik koji silu koju stvara žica prenosi na zub i on se pomiče u pravilni položaj.
Kod svih konvencionalni sustava žica se u utor (slot) bravice učvršćuje uz pomoć ligatura koje mogu biti gumene ili žičane. Kod samoligirajuće bravica postoji elastični klip koji omogućuju vezanje žice u slot bez ligatura, što znatno pojednostavljuje postupak.
Prednosti samoligirajućih bravica su:
- bolji kontakt između žice i bravice
- nisko trenje između bravice i žice – optimalne „više biološke sile“ koje bolje pomiču zub
- kraće vrijeme ligiranja (izmjena žice) – kraće vrijeme kontrole
- redukcija trajanja terapije i broja posjeta – prosječno kraća terapija za 6-7 mjeseci, kontrole svakih 10 – 12 tjedana (kod ostalih tehnika 6-8 tjedana)
- lakše i učinkovitije održavanje higijene – ligature su sklone zadržavanju hrane i time nastanku karijesa. Sustav bez ligatura je samim time “čišći”

Samoligirajuće bravice pružaju korist pacijentu i liječniku. Pacijenti uživaju u prednostima kao što su bolja higijena, estetika, udobnost i brža terapija.
Liječnik ima koristi zbog uštede vremena, kao i preciznijih pomaka zuba uslijed djelovanja super elastičnog klipa. Super elastični klip omogućava konstantnu silu ispravljanja koja uvijek ostaje ista.
Zajedničko djelovanje klipa i luka produžuje opseg (područje) aktivacije fiksne naprave te smanjuje broj pacijentovih posjeta i vrijeme terapije. Dodatni utor (slot) kod Quick bravica omogućava istodobno korištenje dva luka što je velika prednost u slučajevima impaktiranih zuba i zuba smještenih izvan zubnog luka.
Osim metalnih „Quick“ samoligirajućih bravica u našoj ordinaciji koriste se i estetske (bijele) samoligirajuće bravice QuicKlear. Postoji jako veliki broj različitih ortodontskih tehnika i sustava i njihova uporaba je isključivo odluka terapeuta koja ovisi o njegovoj obučenosti za određenu tehniku, vrsti anomalije koja se ispravlja, starosti pacijenta, kvaliteti bravica, dostupnosti na Hrvatskom tržištu itd.
Međutim, nemojte zaboraviti da su bravice samo „alat“ kojim se zubi pomiču, a sve ostalo je u „rukama“ i znanju ortodonta.
Samoligirajući estetski fiksni aparat


Umjesto klasičnih otisaka sa žlicom i materijalom od 2022. godine otiske radimo digitalno pomoću skenera.







