Mliječni zubi – zar ih treba popravljati?
Mliječni zubi počinju nicati sa prosječno šest mjeseci starosti i do druge godine niknu svi. Bez obzira na to što će ispasti i biti zamijenjeni stalnim zubima, o njima moramo voditi brigu jer nam: omogućuju hranjenje, pravilan govor te čuvaju mjesto za stalne zube koji onda niču na pravome mjestu što možete vidjete na dole prikazanom normalnom ortopantomogramu sedam godina starog djeteta. Mliječni zubi moraju se obavezno prati te popravljati kod stomatologa.
Trajni zubi počinju nicati sa prosječno šest godina, a prvi zub koji se pojavi prvi je trajni kutnjak ili “šestica” koja niče na kraju – nakon svih mliječnih zuba. Do četrnaeste godine uglavnom niknu svi zubi.

U Republici Hrvatskoj dijete se ne može upisati u prvi razred osnovne škole ako nema popravljene „šestice“. Danas se preporučuje postupak zalijevanja ili pečaćenja trajnih šestica čime se izravnava površina zuba pa se hrana manje skuplja i zubi se lakše peru. Postupak je potpuno bezbolan i traje desetak minuta.
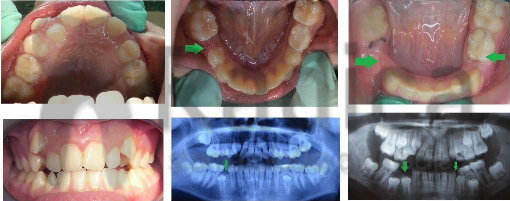
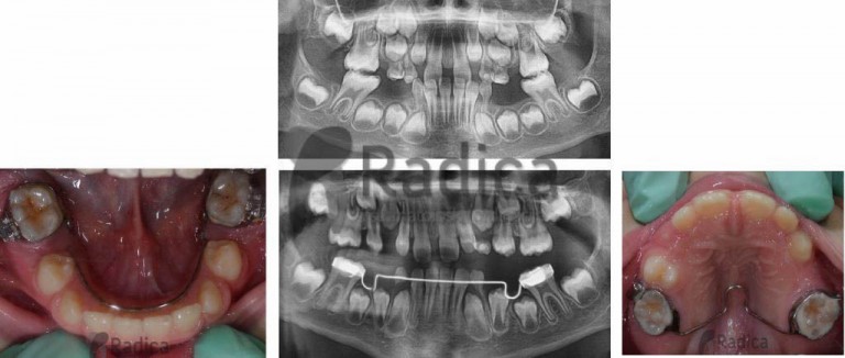
Prerano izgubljen mliječni zub uzrokuje gubitak mjesta za trajnoga nasljednika. Stoga nastaje gužva ili čak neki zubi nemaju gdje niknuti pa ostaju u kosti – nastaje anomalija koju nazivamo sekundarna kompresija.
Najčešće su to zubi koji se zadnji pojavljuju u čeljusti – gornji očnjaci i donji drugi premolari – „petice“.
U sljedećim primjerima su pokazani takvi slučajevi:

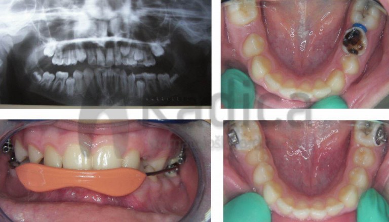
U slučaju da ipak dođe do preranog gubitka mliječnih zuba preporučuje se napraviti držače mjesta, transplatinalni i/ili lingvalni lukovi koji sprječavaju pomak „šestica“ i čuvaju mjesto za trajne nasljednike.




Nažalost, najveći broj ortodontskih pacijenata u Hrvatskoj upravo su oni koji su prerano izgubili mliječne i/ili trajne zube jer ih nisu prali niti odlazili stomatologu.
Ortodontske anomalije uzrokovane preranim gubitkom mliječnih zuba i poslije gubitkom trajnih u suvremenom su svijetu rijetka pojava, a kod nas je gotovo svako treće dijete bez trajnih “šestica”.




