Ortodontska terapija alignerima (udlagama) - nevidljivi aparatić
Autor: mr.sc. Nataša Radica, DMD, spec.ortodont

Zbog sve većeg utjecaja vanjskog izgleda u životu ljudi sve više odraslih osoba zahtjeva ortodontsku terapiju.
S obzirom da se zubi ravnaju aparatićima koji su u većoj mjeri vidljivi, razvile su se tehnike ili aparati koji su gotovo nevidljivi što je odraslim osobama izuzetno važno.
Najviše korištena tehnika bila je terapija plastičnim udlagama ili alignerima koja je razvijena 1997.g. u USA pod nazivom Invisalign.
Dr. Nataša Radica je 2012. godine završila obuku i dobila certifikat za provođenje terapije Invisalignom.
Osim Invisalignom, terapiju alignerima provodimo sustavom Spark™ za koju je Nataša Radica jedan od Spark provider u Splitu.
Spark™ je sustav koji je razvila firma Ormco koja ima iza sebe 60 godina istraživanja i razvoja ortodontskih proizvoda.
Razvili su novu generaciju materijala za alignere - TruGEN™ kojim se osigurava bolje djelovanje sile a time i maksimalna učinkovitost pomaka zuba.


Terapija se udlagama izvodi pomoću plastičnih udlaga ili alignera koje su točno kompjuterski napravljene za pojedinog pacijenta.
Udlage su prozirne i pacijent svaku nosi po 10-14 dana, 24 sata i skida ju samo kada jede i pere zube. Svaka udlaga pomalo pomiče zube u željeni položaj.
Prednosti invisaligna
- gotovo nevidljiv
- može se skinuti pa omogućuje normalnu i lakšu oralnu higijenu
- prilikom jedenja se skida i može se jesti sva hrana za razliku od fiksnog aparata gdje postoje ograničenja
Nedostatci invisaligna
- ne mogu se rješiti teže anomalije, odnosno ne sa istim rezultatom kao kada se terapija radi s fiksnim aparatom
- rezultat terapije ovisi o suradnji pacijenta – mora se nositi 22-23 h dnevno



Pomak zuba određuje ortodont.
Naime, nakon skeniranja, fotografiranja pacijenta i analize RTG snimaka, ortodont radi plan terapije kao i za svaku drugu ortodontsku tehniku npr. fiksni aparat – točno opisuje što želi – gdje da se koji zub pomakne.
Prema tome se rade pomaci zuba u pozicije koje je ortodont naveo te se za svaki pomak radi nova udlagu. Ovaj plan terapije i pomaka zuba ortodont ponovo prekontrolira i daje dopuštenje za izradu udlaga ili radi korekcije.
Ako ortodont utvrdi da pomaci zuba nisu dobri i/ili su nemogući obzirom na njegovo znanje daje nove upute za preinake pomaka i nakon toga dobije novi plan terapije.
Tek, kada se utvrdi da je pomak zuba i rezultat terapije ispravan daje se nalog za izradu udlaga.
U sljedećim Clincheck videima pogledajte kako nakon napravljenog plana terapije pacijent vidi pomake zuba.
Dakle, ovo nije, kao što većina pacijenata ali i stomatologa misli, terapija ,kompjuterom" ili kompjuterski vođena ortodoncija, nego je ortodont taj koji određuje gdje se zubi pomiču isto kao što radi sa fiksnim aparatom i stoga je potrebno ortodontsko predznanje.
Osim udlaga, na zube je potrebno stavljati i bijele dodatke - ,,botuniće" koji su neophodni za određeni pomak tog zuba.
Pacijenti također kao i u terapiji fiksnim aparatom mogu dobiti određene gumice koje nose između dviju čeljusti
Alignerima nije moguće riješiti sVe vrste ortodontskih anomalija točno se zna koliki pomaci Sự mogući nisu svi pacijentiS ortodontskom anomalijom kandidati za ovu tehniku i neki ipak moraju nositi klasični fiksni aparat.
Broj alignera, dužina trajanja terapije a time i cijena terapije ovisi o vrsti anomalije broju alignera (sustavu).
U cijenu terapije uključeni su svi dijagnostički postupci, kontrolni pregledi i prvi retencijski aparat.
NAJTEŽE ANOMALIJE
Spark Unlimited - uvijek obje čeljusti
Invisalign Comprehensive - uvijek obje čeljusti
- neograničen broj udlaga -ovisno o stupnju anomalije
- refinement- dodatne udlage na kraju terapije ako nije postignut planirani rezultata (novi scen i fotografije).
TEŽE ANOMALIJE
SPARK 35- uvijek obje celjusti
- do maksimalno 35 udlaga - za svaku čeljus
- refinement= dodatne udlage na kraju terapije ako nije postignut planirani rezultata (novi scen i fotografijie)
SREDNJE TEŠKE ANOMALIJE
Spark 20
Invisalign® Moderate
- do maksimalno 20 udlaga - za svaku čeljust
- refinement - dodatne udlage na kraju terapije ako nije postignut planirani rezultata (novi scen i fotografije)
LAGANE ANOMALIJE
Spark 10
- za izuzetno male kompresije i razmake te recidive
- do maksimalno 10 udlaga -za svaku čeljust
Invisalign® Lite
- za lagane kompresije i male razmake između zuba
- do maksimalno 14 udlaga - za svaku čeljust
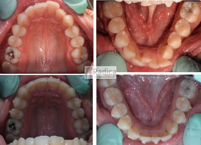
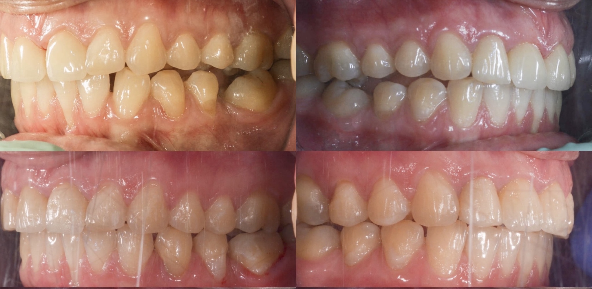
Slučaj 1: ispravljanje otvorenog zagriza i kompresije Invisalign full terapijom

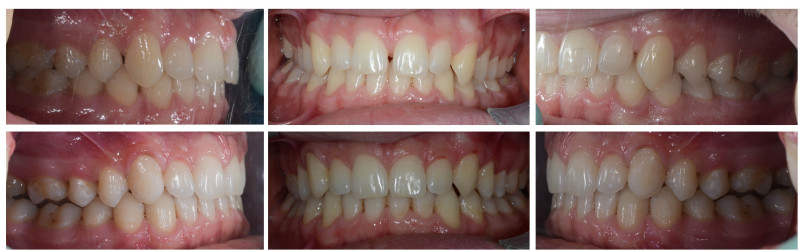
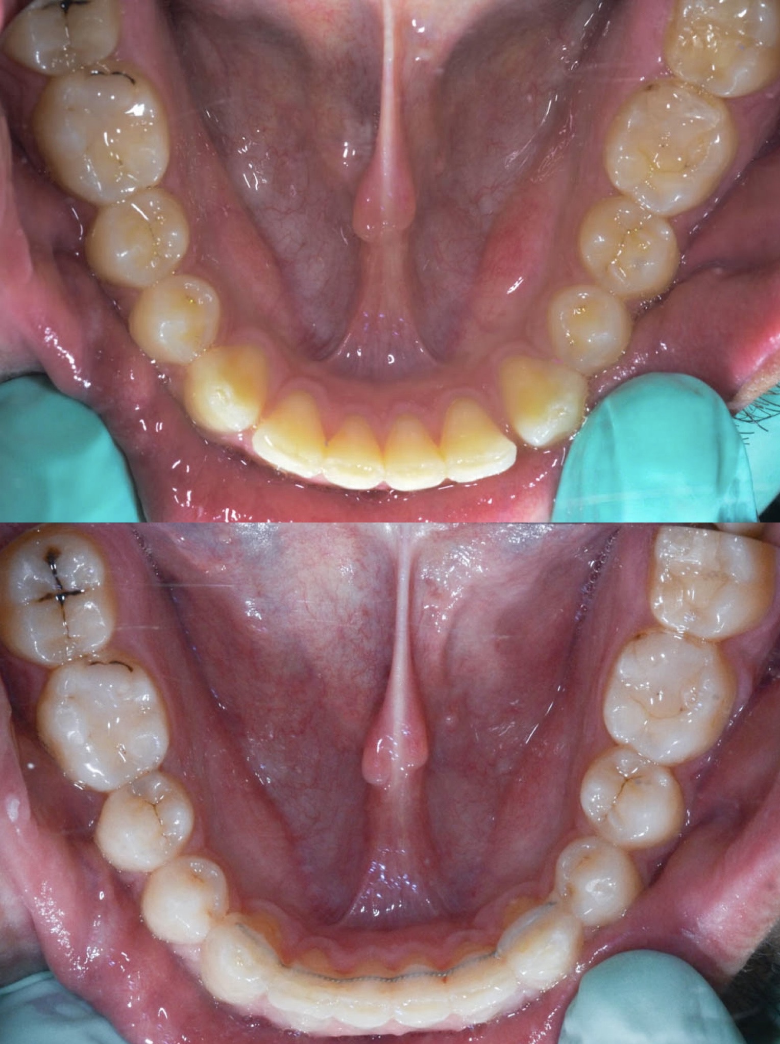
Slučaj 2: ispravljanje kompresije Invisalign full terapijom- u ovom slučaju je izvađen jedan donji sjekutić



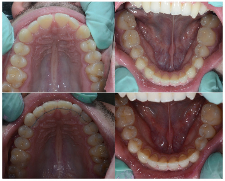
Slučaj 3: ispravljanje kompresije Invisalign full terapijom


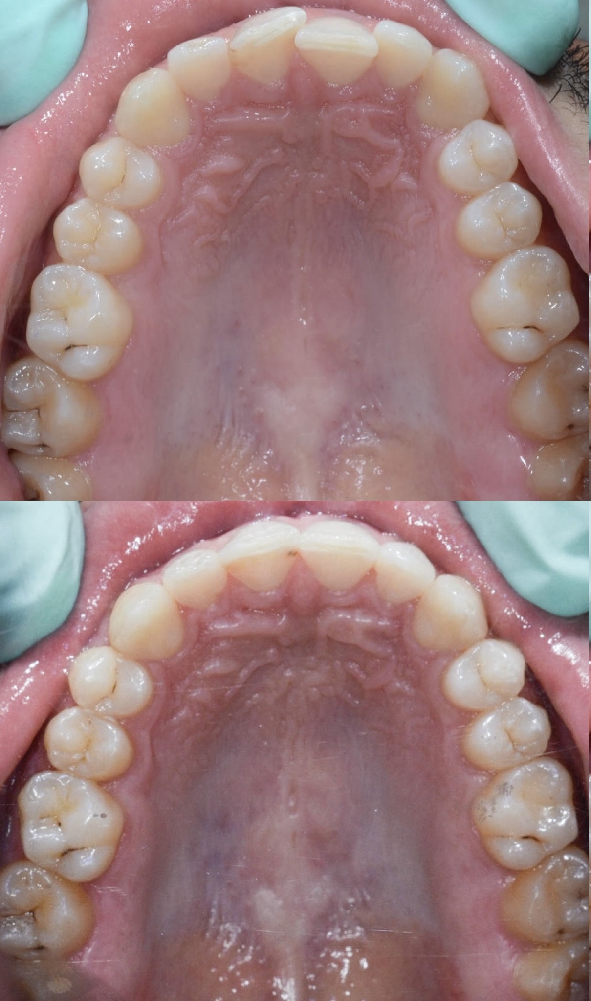
Slučaj 4: ispravljanje kompresije Invisalign full terapijom


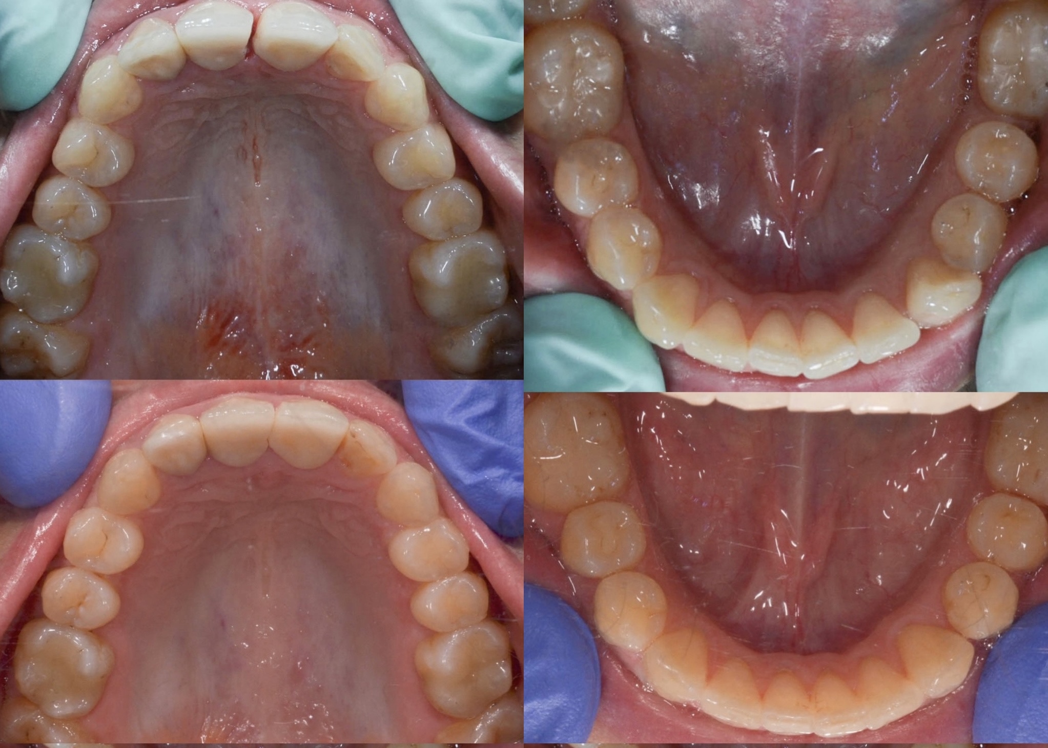
Slučaj 5: ispravljanje kompresije i križnog zagriza Invisalign full terapijom



Slučaj 6: ispravljanje kompresije i dubokog zagriza Invisalign full terapijom

Slučaj 7: ortodontska predprotetska terapija Invisalign full










