Keramičke ljuskice: Najkraći put do blještavo bijelog osmijeha
Keramičke krunice estetska su alternativa tradicionalnim keramičkim i metal-keramičkim krunicama. Razvojem tehnologije materijal koji se upotrebljavao za izradu estetskih krunica – potpuna keramika – dosegao je mogućnosti upotrebe i u tanjoj varijanti, odnosno keramičkim ljuskama (Porcelain Laminate Veneers – PLVs ).
Keramičke ljuske koriste se kao zamjena za caklinu, a pri tome se izvrsno vezuju na dentin zuba. Indikacije za takve stomatološke zahvate su brojne, od oštećenih vrhova prednjih zuba, prekrivanja promjene boje zuba, zatvaranja razmaka među zubima – dijastema, poboljšanja oblika zuba, a ponekad čak i ispravljanja lošega položaja zuba.
Jedna od glavnih prednosti keramičkih krunica i ljuskica je činjenica da propušta svjetlost gotovo jednako kao i prirodni zub i zato izgleda prirodno. Priprema zuba za postavljanje ljuskica je minimalna, tj. zub se minimalno brusi (cca. 0,5 mm ). U nekim situacijama mogu se raditi i no-prep ili ljuskice bez preparacije, odnosno brušenja.
Zbog svoje glatke površine keramičke ljuske dokazano smanjuju nakupljanje plaka i olakšavaju njegovo uklanjanje. Mana im je krhkost (debljina 0,3 – 0,5 mm) pa su sklone pucanju prije cementiranja. Međutim, jednom stopljene sa zubnom strukturom osiguravaju estetiku, funkciju i dugotrajnost. Upravo zbog toga ta prava umjetnička djela smatraju se zaštitnim znakom estetske stomatologije.
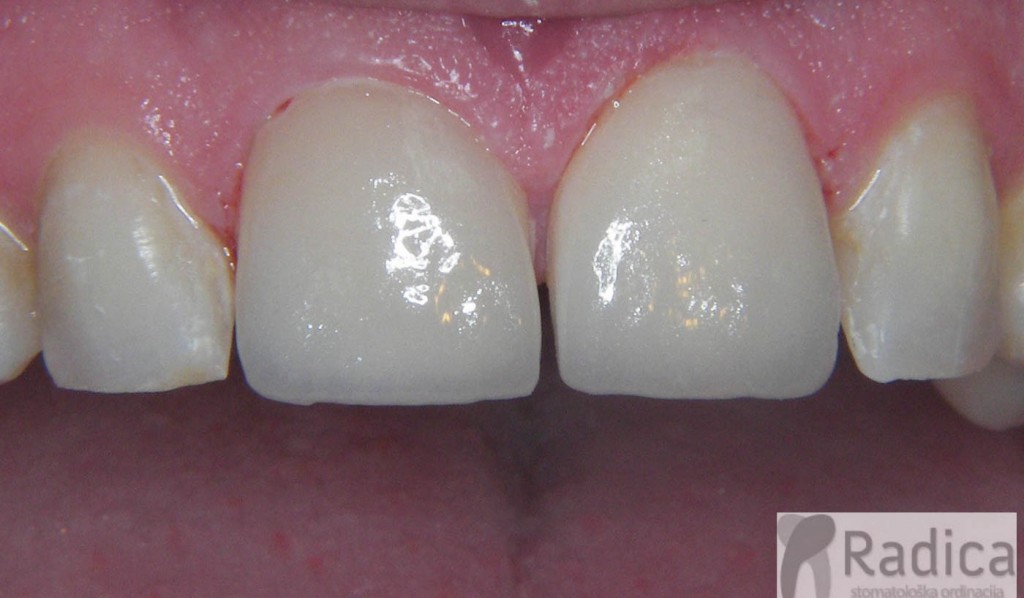
Smanjenje razmaka među zubima ljuskicama


Kad se odlučite za zahvat stavljanja keramičkih ljuskica, najčešće su potrebna dva posjeta stomatologu: u prvome se prebrusi zub, uzmu otisci i odredi boja buduće ljuske, a u drugom cementira gotov rad. U međuvremenu pacijent nosi privremeni rad.
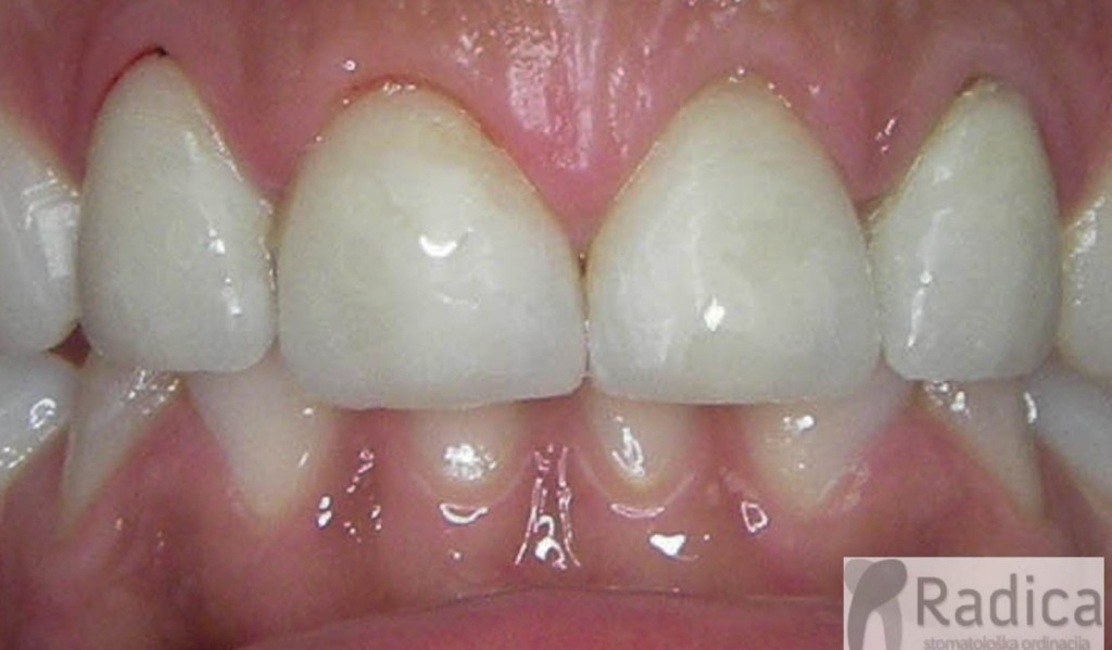
Promjena oblika zuba i starih ispuna ljuskicama


Što se ljuskicama može ispraviti?
- boja zuba
- oblik zuba
- položaj zuba
- razmak među zubima
Kada se ljuskica ne smije postavljati?
- kod dubokog zagriza jer dolazi do pucanja ljuski
- kada nedostaje veći dio zuba, bilo zbog karijesa ili frakture, jer nema dovoljno površine za vezivanje ljuskice, a debljina koju je potrebno nadoknaditi je prevelika pa postoji mogućnost frakture rada – u tom slučaju izrađuju se estetske krunice
- ako imamo ispune „plombe“ sa strana zuba jer ne možemo završiti preparaciju ljuske u caklini
- kod velike promjene boje zuba jer se neće prikriti boja – preporučuje se najprije napraviti izbjeljivanje zuba
Na koje se zube najčešće stavljaju ljuskice?
Pacijenti najčešće ljuskice stavljaju na prednje gornje i donje zube, iako se mogu koristiti i za ispravljanje nedostataka i kod ostalih zuba.
Kako se održavaju ljuskice?
Ljuskice se održavaju kao i ostali zubi – četkanjem četkicom i neabrazivnom pastom za zube. Uz to, potrebne su redovite kontrole kod stomatologa svakih 6 mjeseci. Kod problematičnih zagriza ili parafunkcija kao što su stiskanje ili škripanje zubima u snu izrade se zaštitne individualne udlage koje pacijent nosi tijekom spavanja.




